С нашими брекетами вы гарантированно получите идеальную улыбку уже через 6 месяцев в рассрочку всего за 6 000 руб в месяц
без стеснения!
Преимущества зубных брекетов
Заметное улучшение улыбки на 50% уже в первые месяцы ношения брекетов
Брекеты, установленные у нас, гарантируют идеальную улыбку по окончании ношения
Брекеты способны выровнять практически любой прикус и положения зубов
Правильное положение зубов снижает риск заболеваний полости рта на 40%
Абсолютно безболезненная установка, которая никак не вредит зубной эмали
Стоимость установки брекетов по карману каждому, особенно с нашей рассрочкой
6 шагов к вашей идеальной улыбке
Ваш первый визит включает консультацию с ортодонтом, который оценивает вашу улыбку и обсуждает с вами план лечения. Мы используем 3D-визуализацию для точного представления конечного результата.
Записаться на консультациюНепосредственно перед установкой брекетов проводится тщательная чистка и подготовка зубов, чтобы обеспечить оптимальное прилегание и эффективность брекетов. Данная гигиеническая процедура очень полезна для здоровья зубов.
Брекеты аккуратно фиксируются на зубах с использованием специального безопасного клея, который не повреждает эмаль. Этот процесс занимает около 1-2 часов, в зависимости от сложности случая.
После установки брекетов ортодонт настраивает их для обеспечения правильного давления на зубы. Первые несколько дней могут быть сопряжены с небольшим дискомфортом, который скоро пройдёт.
Важен регулярный контроль ортодонта для коррекции брекетов и мониторинга прогресса. Визиты обычно происходят каждые 4-6 недель и занимают не более получаса.
По завершении лечения брекеты снимаются. Этот процесс быстр и безболезнен. После снятия проводится профессиональная чистка зубов. Наслаждайтесь своей прекрасной улыбкой!
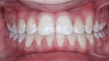
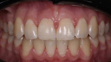
Посмотрите результаты наших клиентов












Перечень услуг и цены на брекеты
услуги
цена
по Москве
Узнайте больше о нашей клинике
На протяжении 12 лет наша стоматологическая клиника предлагает высококачественные услуги по установке брекетов. Мы гордимся тем, что являемся лидерами в данной области, предоставляя индивидуальные решения для каждого клиента. Наша команда опытных ортодонтов и стоматологов использует передовые технологии и материалы для гарантии лучших результатов.
За 12 лет работы мы помогли тысячам людей обрести уверенность в себе через красивую улыбку. Наши клиенты ценят нас за профессионализм, индивидуальный подход и внимание к деталям на каждом этапе лечения. Мы используем только проверенные и безопасные материалы для брекетов, включая металлические, керамические, и сапфировые системы, а также предлагаем инновационные прозрачные брекеты для максимального комфорта и эстетики.
В нашей клинике вы найдете современное оборудование и уютную атмосферу. Мы стараемся сделать каждый визит максимально комфортным и безболезненным.
Наша главная цель — забота о вашем здоровье и красоте улыбки.
Познакомьтесь с нашими специалистами
Почему более 1200 клиентов выбрали нас?
Наша клиника использует последние достижения в ортодонтии, включая 3D-визуализацию и цифровое планирование лечения, что позволяет достигать точных и предсказуемых результатов.
Команда включает сертифицированных ортодонтов с более чем 10-летним опытом работы, обеспечивая высокий уровень профессионализма и качества обслуживания.
Каждому пациенту уделяется внимание с учетом его уникальных потребностей и предпочтений, что обеспечивает максимально комфортное и эффективное лечение.
Мы предлагаем разнообразие типов брекетов, включая традиционные металлические, эстетические керамические и инновационные прозрачные системы, чтобы удовлетворить любые требования и предпочтения.
Строгое соблюдение стандартов стерилизации и использование одноразовых материалов гарантирует безопасность и гигиену на высшем уровне.
Благодаря высокому качеству услуг, клинику выбирают и рекомендуют многие пациенты, что подтверждается множеством положительных отзывов и высоким уровнем удовлетворенности клиентов.
Отзывы наших клиентов
«В клинике установила брекеты и осталась очень довольна! Процесс был комфортным, а результат превзошел все ожидания. Ортодонты — настоящие профессионалы, а обслуживание на высшем уровне. Моя улыбка теперь идеальна, спасибо!»
«Недавно сняла брекеты, установленные в этой клинике, и результат потрясающий! Весь процесс прошел гладко, без дискомфорта. Ортодонты были внимательны и предупредительны, всегда шли «Недавно сняла брекеты, установленные в этой клинике, и результат потрясающий! Весь процесс прошел гладко, без дискомфорта. Ортодонты были внимательны и предупредительны, всегда шли
«Выбрала эту клинику для установки брекетов и не пожалела. С начала до конца обслуживание было на высоте. Ортодонты профессиональны и доброжелательны, они помогли мне обрести «Выбрала эту клинику для установки брекетов и не пожалела. С начала до конца обслуживание было на высоте. Ортодонты профессиональны и доброжелательны, они помогли мне обрести
«Моя дочь недавно завершила курс лечения брекетами в этой клинике, и мы оба в восторге от результата! Врачи были невероятно внимательны и терпеливы, обеспечивая комфорт «Моя дочь недавно завершила курс лечения брекетами в этой клинике, и мы оба в восторге от результата! Врачи были невероятно внимательны и терпеливы, обеспечивая комфорт
У нас есть все необходимые лицензии
Отвечаем на ваши вопросы
Время лечения индивидуально и зависит от сложности случая, но в среднем оно составляет от 6 месяцев до 2 лет. Регулярные визиты к ортодонту помогают контролировать процесс и достигать лучших результатов.
Во время установки брекетов боли нет. После установки и после каждой коррекции может наблюдаться небольшой дискомфорт, который обычно проходит в течение нескольких дней. Мы предоставляем рекомендации по уходу, чтобы минимизировать дискомфорт.
В среднем рекомендуется посещать ортодонта каждые 4-6 недель для контроля и коррекции брекетов. Это помогает эффективно проследить за ходом лечения.
Важно тщательно чистить зубы и пространство вокруг брекетов после каждого приема пищи. Мы предоставляем инструкции по уходу за зубами и брекетами, включая использование специальных щеток и зубной нити, а также рекомендации по питанию для предотвращения повреждения брекетов.
После снятия брекетов вы можете ожидать заметного улучшения положения ваших зубов и красоты вашей улыбки. Окончательные результаты зависят от индивидуальных особенностей лечения, но наша цель — достичь оптимального эстетического и функционального результата.
Наши контакты
Имеются противопоказания, требуется консультация специалиста.
